
Introduction:
Are you covering your mouth while laughing? Teeth scaling and polishing in Islamabad is what will make it possible for you to laugh without being insecure. Teeth scaling is made to remove tartar, plaque and stains from your teeth and maintain your oral hygiene perfectly. If you’re looking for a quick, painless and affordable Teeth cleaning then you’re on the right page.
Let’s see how this procedure works.
QUICK FACTS:
| Procedure type | Scaling |
| Target: | Plaque |
| Duration | 30mins |
| Result | Brightness |
| Downtime | None |
| Side effects | Sensitivity |
| Age limit | Adults |
| Cost | PKR 2,000 – 10,000 |
What is Teeth Scaling and Polishing?
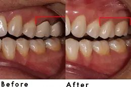
Teeth scaling and polishing is a professional dental cleaning treatment that removes plaque, tartar and stains from your teeth.This procedure gives you a deeper cleaning apart from brushing and flossing. It helps in preventing gum disease, improves oral hygiene and keeps your smile clean and brighter.
Results of Teeth Scaling and Polishing:
- Many people who undergo Teeth Scaling and Polishing in Islamabad are satisfied with the results and improved oral hygiene and brighter teeth.
- The satisfaction rates of the teeth scaling and polishing is 95% as study suggests.
- The treatment leaves you having a better-smelling breath and a brighter smile via the removal of surface stains as well as discolorations.
- Besides the usual effects of less pain in the teeth and improved sensitivity, people also report an increased level of comfort inside their mouths.




How Does It Work?
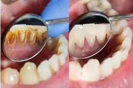
- By using special tools, the procedure starts from cleaning your teeth deeply by removing tartar, plaque and bacteria.
- This helps in preventing gum infection, diseases and tartar to develop again on the teeth.
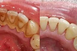
- The next step includes polishing where your dentist polishes your teeth using a polishing cup with prophylaxis paste.
Ideal Candidate for Teeth Scaling and Polishing:
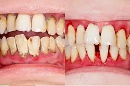
- Individuals with plaque buildup on teeth
- Those experiencing gum inflammation or bleeding
- People with severe staining or tartar on their teeth’s surface.
- People who want to improve the appearance of their smile.
- People with gum diseases, teeth sensitivity and periodontal issues.
- Who are suffering from bad breath, gum irritation or chronic dental issues.
- Individuals who aesthetically modify their teeth,
- People who want to maintain oral hygiene for a longer period of time.
Procedure Details:
Oral Health Assessment:
Before starting the procedure, our dentist will personally inspect your oral hygiene and medical history including any gum disease, diabetes, or other allergic reactions to products.
Dental Scaling:
Dental scaling is a key step in maintaining healthy teeth and gums, using specialized ultrasonic and manual instruments, plaque and tartar is removed carefully from the teeth. This process helps in preventing any gum disease, tooth decay and bad breath while maintaining oral health.
Tooth Polishing:
After scaling the next step is tooth polishing which is a final touch of the procedure. Your dentist will use a special instrument and a paste to polish your teeth to give that extra glow and shine after cleaning. This step also helps reduce plaque and tartar on freshly cleaned teeth. Polishing is important after scaling to reduce the chances of gum diseases and future stains.
Aftercare and Maintenance:
Following the process of scaling and polishing, one needs to adopt good oral health care routines to retain the effects of the procedure as long as possible. This includes:
- Brushing your teeth with a good toothpaste to avoid the chances of getting stains again.
- Flossing your teeth once a day to avoid food particles stuck into your teeth where brush can’t reach.
- Avoid smoking or other toxic substances to reduce the chance of getting plaque and tartar again on your teeth.
- Regular dental checkups are necessary to maintain results. Make sure to invest in a good dental clinic even for a minor follow-up.
- Following these tips or the tips given by your doctor will help reduce further complications and risk of getting a tooth disease.
Price of Teeth Scaling and Polishing In Islamabad:
- Teeth scaling and polishing cost 2,000 to 15,000 PKR on average but it can be affected by some factors including follow-ups, clinic’s reputation or severity of the condition.
- While maintaining our patient’s demands on a high note, we understand transparent pricing and thrive to achieve the best outcomes for our patients.
Why Choose Us for Teeth Cleaning in Rawalpindi?
- Experienced professionals: : Skilled dentists with years of experience in solving dental problems.
- Advanced Technology: We offer advanced and latest technology to treat our patient’s problems.
- Transparent pricing: Best quality procedures with reasonable costs.
- Easy appointments: Evening and off day appointments are also available for your convenience.
FAQ,S of Teeth Scaling and Polishing In Islamabad:
How many sessions do I need?
Teeth scaling and polishing is usually done in one sitting but if necessary, more sessions may be required if needed.
Is the consultation needed?
You may need consultation to assess your dental and medical health history.
Does teeth scaling and polishing help remove tartar?
Yes, the procedure is made to clean tartar and whiten up your teeth.
Is the procedure safe?
Yes, if performed by a certified dentist using FDA-approved products.
Can kids have teeth scaling and polishing?
Yes, if the tartar and colour is too bad to not remove from brushing and oral hygiene kids can get teeth scaling and polishing.
Who is a suitable candidate?
People with severe stained teeth, tartar and plaque without any chronic disease such as diabetes are suitable for teeth polishing and scaling
Do I have to brush as soon as I get teeth scaling and polishing?
No, wait for a few hours till the numbing and slight pain disappears.
Are there any side effects?
Mild pain, sensitivity and numbness is very common after the procedure, but major side effects are none.
Book Your Appointment Now!
Teeth cleaning and polishing is getting a hype as dental health and hygiene both reflect your personality. Being insecure about your teeth can be both frustrating and awkward in many situations of life but with us at Glamorous Aesthetic Clinic, you are invited to get the best teeth cleaning services by professional dentists. Book us now and get a chance of laughing without being judged by anyone.



